Conservativa ed Endodonzia
Che cos’è l’Odontoiatria Conservativa?
L’odontoiatria conservativa è una branca dell’Odontoiatria che si occupa principalmente della cura della carie dentale. La sua finalità, come il nome stesso suggerisce, è quella di mantenere (conservare) in bocca i denti colpiti dalla carie, fratture ect, eliminando dapprima il tessuto cariato per poi ripristinare forma, funzione e, grazie alle moderne tecniche, anche l’estetica originale degli elementi dentari.
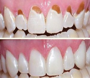
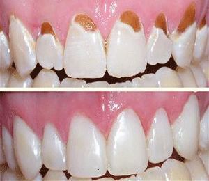
Che cos’è la Carie Dentale?
Si tratta di una malattia infettiva che colpisce i tessuti duri del dente (smalto, dentina e cemento) creando dei veri e proprie cavità
Sono i batteri del genere Streptococco Mutans ,presenti nel nostro cavo orale, checreano queste “cavità” nei denti, tuttavia per poterlo fare hanno bisogno di alimenti che contengano elevate quantità di zuccheri. Grazie agli zuccheri, infatti, possono riprodursi a dismisura e, così facendo, creando acidi che, a lungo andare, bucano il dente.
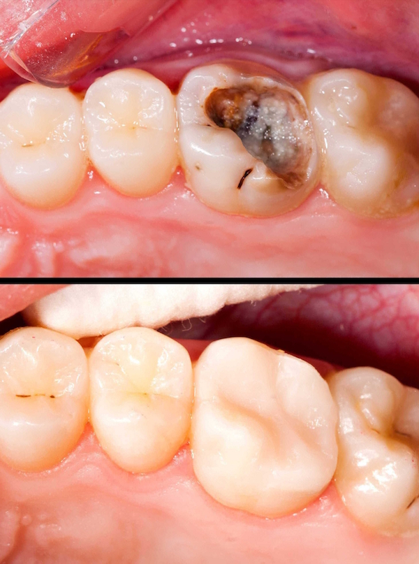
Se la carie viene trattata in tempo, recuperare il dente è facile e veloce.
Qualora invece la carie venga trascurata ed i batteri arrivino al centro del dente ove si trova la polpa, per recuperare il dente ci sarà bisogno anche di una Terapia Canalare o Devitalizzazione, argomento che tratteremo più avanti nel capitolo “endodonzia”. Alcuni denti cariati eccessivamente trascurati alle volte non sono recuperabili in nessun modo: non resta che estrarli per evitare dolori ed ascessi ricorrenti e anche il rischio di gravi infezione generalizzate.
Ecco perché è importantissimo spazzolare i denti dopo ogni pasto, affinché i batteri non abbiano modo di danneggiare il dente. Inoltre, visite di controllo regolari dal dentista permettono di individuare precocemente le lesioni cariose in stadi iniziali, così da poter recuperare i denti con terapie facili e veloci.
Che cos’è l’ Endodonzia ?
L’endodonzia ha per oggetto i tessuti interni del dente, le patologie e i trattamenti correlati. Quando questi tessuti o i tessuti che circondano la radice dentale si ammalano o si danneggiano a causa di carie o traumi, il trattamento endodontico permette di salvare il dente.

All’interno del dente, sotto i tessuti duri smalto e dentina, vi è una cavità occupata da un tessuto molle chiamato polpa. La polpa contiene vasi sanguigni, nervi e tessuto connettivo e alimenta i tessuti circostanti duri del dente durante lo sviluppo.
La polpa si estende dalla corona del dente fino alla punta delle radici.
La polpa è fondamentale per lo sviluppo e per la maturazione di ogni dente. Tuttavia, una volta giunto a completa maturazione, un dente può sopravvivere senza la polpa perché continua ad essere alimentato dai tessuti che lo circondano.
Quando si ha necessità di una terapia endodontica?
Il trattamento endodontico (altrimenti noto come devitalizzazione) è necessario quando la polpa dentaria (i tessuti molli all’interno del dente) si infiamma irreversibilmente o si infetta.
L’infiammazione o l’infezione della polpa può verificarsi per svariati motivi: carie profonde, ripetute procedure odontoiatriche o anche a causadi una frattura del dente. Alle volte, un forte trauma può causare danni irreversibili alla polpa, anche se il dente non ha alcun segno apparente.
Se l’infiammazione e/o l’infezione pulpare non viene adeguatamente curata, può portare nel tempo dolore, talvolta acuto, e ricorrenti ascessi.
Quali sono i sintomi di una polpa infiammata o infetta?
I sintomi più comuni sono:
- dolore spontaneo
- ipersensibilità prolungata al caldo e/o al freddo
- fastidio e/o dolore durante la masticazione
- (in caso di infezione acuta) il gonfiore e la fuoriuscita di pus
A volte, tuttavia, non ci sono sintomi così evidenti o non ce ne sono affatto. Ciò non significa che il trattamento canalare non sia necessario.
In che modo la terapia endodontica salva il dente?
L’Odontoiatra, grazie all’ausilio di sistematiche ingrandenti quali occhialini e microscopio, rimuove la polpa infiammata o infetta da ogni singolo canale dentario, disinfetta l’interno del dente e poi sigilla tale spazio in modo che i batteri non possano più entrarvi.
Successivamente, procederà a restaurare adeguatamente la parte masticante del dente, in modo che non corra rischi di fratturarsi.
Dopo il restauro, il dente riprenderà a funzionare come un qualsiasi altro dente


