Parodontologia
La parodontologia studia i tessuti del parodonto (peri = attorno; odons = dente) e le patologie ad esso correlate.
Il parodonto è costituito dalla gengiva dall’osso alveolare dal cemento radicolare (tessuto che ricopre la radice del dente) e dal legamento parodontale.
La parodontologia si occupa quindi dell’insieme dei tessuti molli (il legamento periodontale e la gengiva) e duri (cemento e tessuto osseo alveolare) che circondano il dente e che assicurano la sua stabilità nell’arcata alveolare (in condizioni di salute).
La parodontologia, si occupa delle malattie che interessano il parodonto, queste vengono chiamate genericamente malattie parodontali o parodontopatie, o piorrea (termine storico oggi ancora utilizzato nella popolazione). Più precisamente queste malattie sono le parodontiti e le gengiviti.
Quali sono i fattori che favoriscono la parodontite?
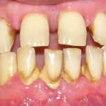
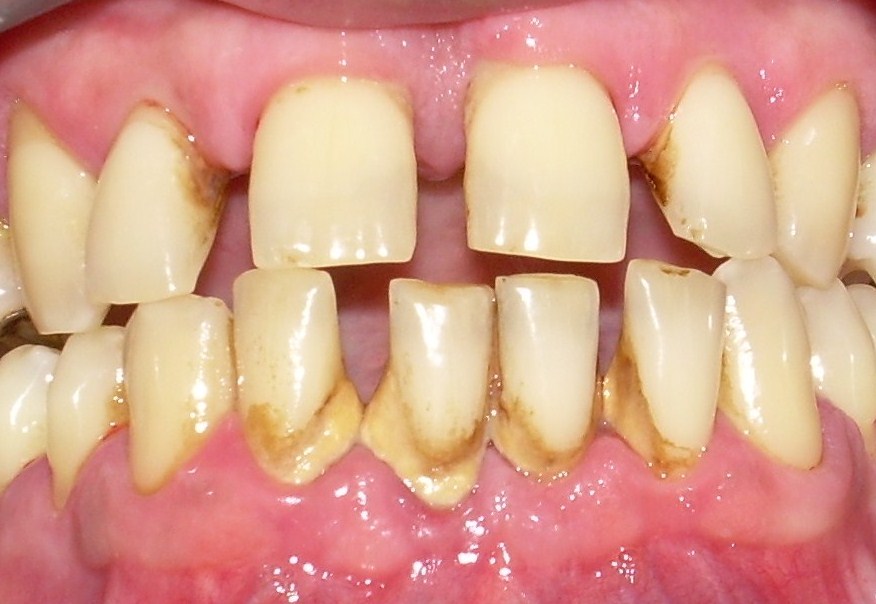
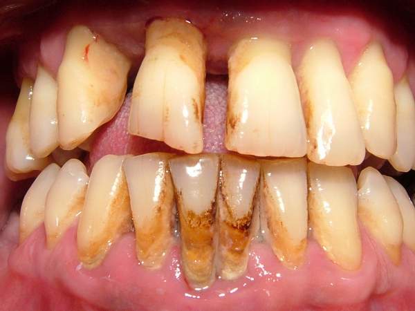
Igiene orale inadeguata: e’ la causa principale della stragrande maggioranza dei casi di parodontite. La placca batterica provoca prima la gengivite che poi diventa piorrea. Soprattutto in presenza di altri fattori di rischio sotto elencati, l’igiene orale gioca un ruolo determinante.
Fattori di rischio:
- Fumo: I forti fumatori (10 e più sigarette per giorno) hanno un rischio più elevato di contrarre la

- Cause carie e parodontite
piorrea piu’ che i non-fumatori. La piorrea nei fumatori avanza spesso più rapidamente e ha un decorso più aggressivo e risponde meno alle cure.
- Predisposizione genetica: Certe persone soffrono di malattia parodontale nonostante un’igiene orale eseguita in maniera impeccabile, mentre altri possono vantare strutture parodontali sane pur avendo ammassi di tartaro e placca. Questo è dovuto al fatto che circa il 30% della popolazione ha ereditato un gene che predispone alla malattia parodontale. Con il test genetico (ParoGen® Test) possiamo verificare con un semplice prelievo di saliva se il paziente è predisposto o meno alla piorrea.
- Stress: Molti studi scientifici hanno messo in evidenza una corrispondenza fra lo stress e la malattia parodontale, dovuto probabilmente al fatto che lo stress indebolisce le difese immunitarie.
- Gravidanza: Le forti fluttuazioni ormonali favoriscono l’insorgenza di gengivite e parodontite.
- Patologie generali: Sopratutto il diabete scompensato con glicemia alta e certe forme di artrite reumatoide nonché le deficienze immunitarie congenite o acquisite (p.e. AIDS).
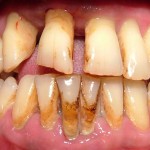
Da cosa si riconosce la parodontite?
Essendo la malattia parodontale una patologia cronica e indolore, i primi sintomi solitamente non sono molto specifici.
Per aiutarsi nell’autodiagnosi si possono considerare i sintomi indicati qui di seguito. Se qualcuno di questi è presente si dovrebbe consultare un dentista con esperienza in parodontologia (Parodontologo), per sottoporsi a visita specialistica, a specifici esami radiologicie ad uno specifico programma di cure.
- Dolore alle gengive
- Gengive che sanguinano quando si spazzolano
- Spazi che si sviluppano fra i denti
- Gengive gonfie o tese
- Gengive che si allontanano dal colletto facendo apparire i denti più lunghi di prima
- Alito cattivo persistente
- Comparsa di pus fra i denti e le gengive
- Comparsa di sensibilità dei denti durante la masticazione
- Gengive facilmente traumatizzabili, cuscino sporco di sangue al risveglio
- Denti che non si mantengono stabili durante la masticazione (mobilità dentaria)
La parodontite è curabile?
Oggi è curabile, ma la sua terapia mira essenzialmente a bloccare il suo andamento cronico degenerativo.
La prima fase di cura mira a migliorare l’igiene orale del paziente attraverso la sua stessa consapevolezza. Se il paziente collabora, già la terapia iniziale porta a un netto miglioramento delle condizioni parodontali.
Se si tratta soltanto di gengivite, i tessuti possono guarire senza postumi
I primi passi verso il miglioramento sono :
- Rimozione della placca batterica e del tartaro sopragengivale e sottogengivale con metodiche di detartrasi ultrasonica e l’uso di strumenti manuali, curettes (Scaling e rootplanig o Levigatura radicolare).
- Informazione, istruzione e motivazione del paziente ad una corretta igiene orale quotidiana, attraverso corrette metodiche riguardanti la rimozione meccanica della placca batterica dalla cavità orale, utilizzo di spazzolino manuale e strumenti per la pulizia delle superfici interdentali (filo interdentale). Il controllo meccanico della placca sopragengivale può essere aiutato da un controllo chimico (colluttori e gel), tenendo presente che, a lungo termine, gli agenti chimici antiplacca mostrano una riduzione dei benefici e la comparsa di effetti secondari.
- Controllo dei fattori che influenzano la progressione della malattia, quali il fumo e il diabete.
- Eliminazione dei fattori ritentivi di placca, quali otturazioni e margini protesici debordanti, carie, tartaro, cemento radicolare contaminato, e questo per favorire le manovre di igiene orale e per ristabilire un’anatomia dento-gengivale favorevole al controllo di placca.
- Lucidatura e rifinitura delle superfici dentali
Levigatura delle radici ( Scaling)
Dopo la rimozione della placca batterica, del tartaro sopragengivale e dopo le istruzioni ad un’accurata igiene orale domiciliare, il paziente verra’ sottoposto a un sondaggio parodontale, con compilazione della Cartella Parodontale. Se si scopre la presenza di tasche profonde, il successivo passo terapeutico consisterà nella levigatura sottogengivale delle radici, il cosiddetto “scaling” o “root planing”. Anche questa misura è eseguita in modo indolore dall’igienista o dall’odontoiatra sotto anestesia locale.


